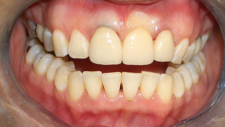
Incisivi superiori rifatti in zirconia porcellana
La paziente, di origine nordafricana, presentava un ponte su incisivi superiori in metallo porcellana che non la soddisfaceva sul piano estetico e relazionale.Inoltre tale ponte continuava a staccarsi, in diverse situazioni. Le proposi di rifarne uno nuovo in zirconia porcellana, previo un piccolo intervento di plastica gengivale. Il risultato è stato di grande soddisfazione per tutti.


