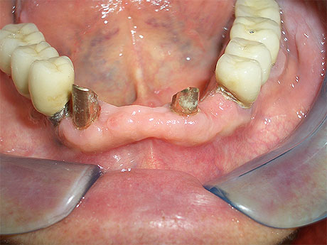
Ponte in porcellana di sei corone (da 43 a 33) su due impianti endossei
La paziente aveva perso numerosi denti del gruppo frontale inferiore (da canino a canino) per malattia parodontale.
Si sono tenuti due denti superstiti per reggere un provvisorio fisso nel periodo di guarigione e osteointegrazione dei due impianti previsti (43 e 32).
Si sono quindi fatte le impronte e confezionato un nuovo ponte provvisorio in resina da 43 a 33 da inserire sugli impianti e, contestualmente, estrarre i due denti superstiti molto mobili.
Dopo un periodo di stabilizzazione dei tessuti in seguito alle estrazioni, si è proceduto alla realizzazione del ponte definitivo in porcellana.



